显微镜下看生命孕育过程(组图)
通过一台高倍率的电子扫描显微镜,里纳德·尼尔森带领人们进入一个原本无法观看的世界身体的内部,细胞、各种组织以及我们如何被孕育、如何在母亲的体内生长并最终来到这个世界上。这一切显得如此神奇和美好,它让人们感到与自己的身体从未有过地亲近。
性激素
睾丸放大图里纳德·尼尔森出生于1922年,瑞典人,最早时作为一名自由摄影师。尼尔森的工作室坐落在斯德哥尔摩北部的卡罗林斯卡研究所内,可以很容易地想见它的与众不同。照相机、摄像机、计算机以及各种各样的显微镜,还有一整面墙的放满玻璃罐子的橱柜。那些曾让世人惊奇的图片,视线所及,随处可见。天棚上是一幅巨大的被灯光打亮的透明胶片一个在母亲子宫中的胎儿。尽管体内的空间如此狭窄,但当它被逐一细节地陈列眼前时,给你的感觉却像在观看一个正在演变的天体世界。
奔跑中的精子“一个孩子的诞生”是尼尔森从1965年就开始拍摄的专题,但直到1990年才最终补充完成。今天,我们再看这组照片时已经是从人体受孕的最初直至出生的全过程。大洋图解:卵子经过大约15厘米长的、狭窄的输卵管向子宫内游动,它周围的营养细胞像一串串美丽的光环围绕着它。很快,它将与精子相遇并开始受精的过程。卵子的外层被一层透明的薄膜保护着,这使它看起来像一个悬浮在天体中的漂亮的星球。此时经过种种障碍的精子终于与卵子相遇,卵子外膜成为它们第一道需要攻破的关卡。此时,精子们把头钻到卵子的外壁上,尾巴不断拍打着,卵子则随着精子尾部的运动,缓慢地逆时针转动。随着时间的推移,胎儿逐渐形成,他移动手臂,把手指放在唇边。
精子纵切面,遗传物质储存在精子的头部
宫颈粘液放大图
大量精子涌入输卵管
一个精子在输卵管粘膜皱褶内向前游走
排卵过程示意图
排卵过程实景图
卵泡破溃,卵子显露
即将由卵巢排出的卵子
输卵管伞部(排出的卵子被该伞捕获,并使其进入输卵管内
卵巢放大图
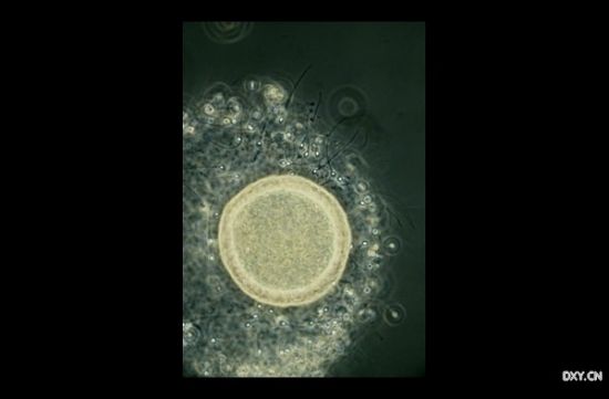
卵子卧在输卵管的粘膜皱褶内一个来自母亲卵巢的卵子卧在一条输卵管的粘膜皱褶内,在这条通往子宫的管道内,一个来自父亲的精子将会使卵子受精,以创造一个新人类
卵子经过大约15厘米长的、狭窄的输卵管向子宫游动,它周围的营养细胞像一串串美丽的光环围绕着它。很快,它将与精子相遇并开始受精的过程。
500万个精子同时游向它们的终点隐蔽在输卵管中的卵子
精子和卵子相遇
进攻:一个精子钻入一个卵子的壳内。此时 精子的头已经钻进去了我们还可以看到它的中部和尾部,它就像一个不断旋转的钻头,在尾巴拍打的驱动下,努力进入卵子。
进攻:两个精子同时钻入一个卵子的壳内
精子头部已经完全进入卵子,只留下尾巴
卵子表面的微小凸出物将精子拉入卵子中。精子的尾部随即截断,只留下头部与中段在卵细胞内
- 备 孕
- 怀 孕
- 分 娩
- 新生儿
- 婴 儿
- 幼 儿
- 学龄前
























